Bay Shore
Patchogue



The patient had broken bondings, ill-fitting crowns, and discolored teeth. Using a combination of crowns and veneers the patient now boasts a beautiful smile.


This patient's smile was changed with gingival contouring using a soft tissue laser and veneers. Results were a naturally beautiful smile!


The patient was embarrassed of a decaying smile. It was restored with a combination of crowns and bridges and some gum treatment. Now the smile is stunning!


This patient had a large space(diastema) between the front teeth with some missing permanent teeth. The diastema was closed and a striking smile was attained after in-office ZOOM whitening and an anterior bridge.


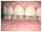
This patient's smile was brightened with all porcelain crowns. Her gum line was raised/recontoured with a soft tissue laser. the results is a stunning smile!


Due to history of poor dental work, this patient suffered from swollen/bleeding gums and discolored teeth. Services such Soft tissue management and crowns yielded a healthy result in this case.


Several chipped, discolored teeth were restored with crowns for an uniform smile.


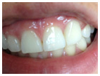
This patient had some discolored, misshaped teeth which were treated with porcelain veneers. The result is a gorgeous smile!

This patient had some discolored, misshaped teeth which were treated with porcelain veneers. The result is a gorgeous smile!
A fear of dental treatment and a high sugar diet led to a severely broken down teeth. The patient was reluctant to smile. After some teeth extractions and a fixed bridge, the patient is delighted to smile again.
This patient’s smile was restored with a full upper denture and lower partial denture. Several years later the smile still looks lovely!
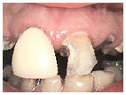
A single tooth with a large amalgam filling was restored with an all porcelain crown.
The patient’s smile was improved with porcelain veneers.
Due to lack of dental treatment for a long period of time, the patient was left with several broken down teeth and a severely rundown smile. A temporary denture was inserted the day the teeth were extracted. (WITHIN A WEEK!)
This patient had some discolored, misshaped teeth which were treated with porcelain veneers. The result is a gorgeous smile!
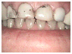
The patient had a failing bridge on the lower teeth. The gums were in poor shape as well. The patient’s smile and function were restored with implant supported complete dentures.